
Hallux rigidus – Behandlung & OP in München
Schmerzen beim Abrollen, steife Großzehe, Druck im Schuh? In der Orthopädie Neuhausen in München behandeln wir den Hallux rigidus – konservativ und operativ. Dr. med. Ralf Ullmann, zertifizierter Fußchirurg, bietet eine spezialisierte Sprechstunde mit klarer Diagnostik, ehrlicher Beratung und modernen OP-Verfahren.
Vereinbaren Sie einen Termin bei uns in der Orthopädie Neuhausen.
Sie haben Hallux rigidus und benötigen einen Termin? Wir sind gerne für Sie da – kontaktieren Sie uns!
Inhalt:
- Wie entsteht ein Hallux rigidus?
- Symptome – wann zum Arzt?
- Ursachen & Risikofaktoren
- Diagnostik in unserer Praxis
- Stadien des Hallux rigidus – Tabelle
- Übungen bei Hallux rigidus
- Konservative Therapie
- Operative Behandlung (Hallux-rigidus-OP)
- Reha & Verlauf – Tabelle
- Warum Orthopädie Neuhausen?
- Häufige Fragen (FAQ)
Wie entsteht ein Hallux rigidus?
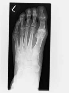
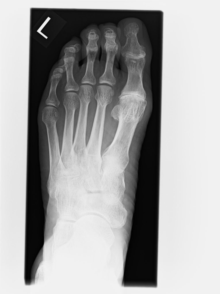
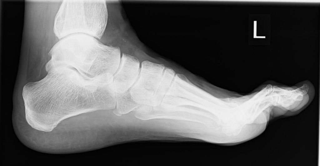
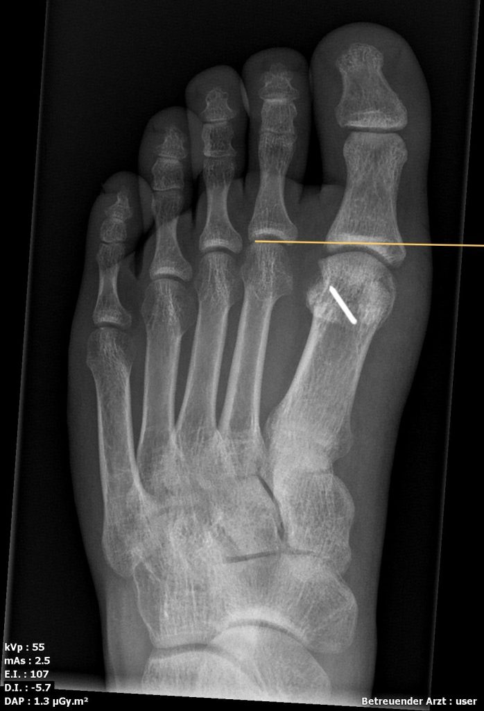
Der Hallux rigidus ist eine Arthrose des Großzehengrundgelenks (MTG I). Knorpelverschleiß und knöcherne Anbauten (Osteophyten) führen zu Schmerzen und Bewegungseinschränkung – häufig zuerst beim Abrollen. Abgrenzung zu verwandten Krankheitsbildern:
- Hallux limitus: beginnende Arthrose mit noch teilweiser Beweglichkeit.
- Hallux valgus: seitliche Fehlstellung der Großzehe – anderes Krankheitsbild (eigene Seite vorhanden).

Dr. med. Ullmann ist Ihr durch die GFFC (Gesellschaft für Fuß- und Sprunggelenkchirurgie) zertifizierter Fußchirurg in München. Seit über 15 Jahren ist sein Fachgebiet die Behandlung von Fehlstellungen der Füße. Nach seiner Facharztausbildung in der Orthopädie hat er sich bereits früh auf die Fußchirurgie spezialisiert und ist neben seiner Tätigkeit in der eigenen Praxis in München als leitender Arzt und Koordinator für den Bereich der Fußchirurgie an der Chirurgischen Klinik München-Bogenhausen tätig.
Typische Symptome des Hallux rigidus – wann zum Arzt?
- Schmerzen im Großzehengrundgelenk, v. a. beim Abrollen oder in engem Schuhwerk
- Steife Zehe / eingeschränkte Dorsalextension („die Zehe geht nicht hoch“)
- Druckstellen, Schwellung, Reibung über dem Gelenk
- Anlaufschmerz, später Ruheschmerz
- Schonhaltung/Veränderung des Gangbildes
Hinweis: Je früher die Diagnose, desto besser lassen sich Verlauf und Schmerzen beeinflussen.

Ursachen & Risikofaktoren
- Gelenkverschleiß (Arthrose), frühere Verletzungen
- Fußfehlstellungen (z. B. Spreizfuß), ungünstige Biomechanik/Überlastung
- Genetische Veranlagung, entzündlich-rheumatische Erkrankungen
Diagnostik in unserer Praxis in München-Neuhausen
- Klinische Untersuchung mit Beweglichkeits- und Schmerztests
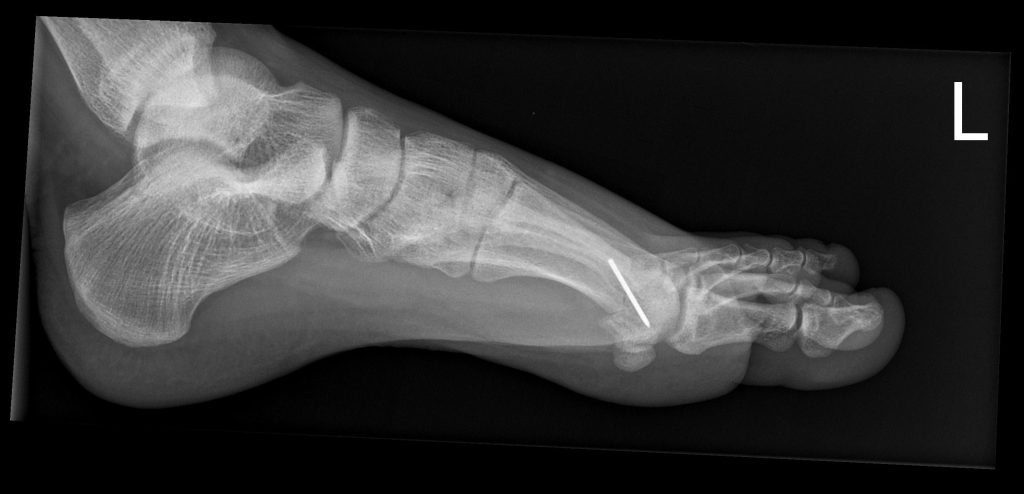
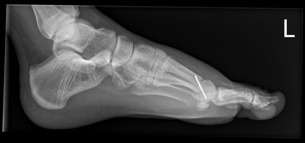
- Röntgen zur Beurteilung von Gelenkspalt, Osteophyten, Stellung
- Bei Bedarf: Ganganalyse, weiterführende Bildgebung
- Ziel: präzise Stadieneinteilung → individuelle Therapie (konservativ vs. OP)
Stadien des Hallux rigidus & Therapie (Überblick)
| Stadium | Typische Befunde | Beweglichkeit Großzehe | Röntgen-Hinweise | Geeignete Behandlung |
|---|---|---|---|---|
| Frühstadium („limitus“) | zeitweilige Abrollschmerzen, Reizung, kleiner Knochenrand | eingeschränkt, noch vorhanden | erste Osteophyten, Gelenkspalt erhalten | Schuh-/Einlagenversorgung (Rocker-Sohle), Physio; evtl. Cheilektomie |
| Mittleres Stadium | häufigere Schmerzen, tastbarer Knochenrand, Druckstellen | deutlich eingeschränkt | Osteophyten + Verschmälerung des Gelenkpaltes aber noch 50 % des Gelenkspalt erhalten | Konservativ wie oben; je nach Ziel Cheilektomie ± Moberg-Osteotomie Youngswick Operation |
| Fortgeschritten („rigidus“) | Schmerzen auch in Ruhe, deutlich steifes Gelenk | stark eingeschränkt bis kaum möglich | deutliche Gelenkspaltminderung/-aufhebung, ausgeprägte Osteophyten | Arthrodese (Versteifung) als zuverlässige Lösung; Endoprothese selektiv |
Übungen bei Hallux rigidus
Wichtige Hinweise vorab
- Schmerzregel: Dehn-/Zuggefühl ist ok, stechender Schmerz → stoppen.
- Akute Entzündung/Schwellung/Überwärmung: zuerst beruhigen (Kühlen, Entlasten), dann üben.
- Nach OP gilt der ärztliche/physiotherapeutische Plan – diese Übungen sind allgemeine Empfehlungen.
- 1–2× täglich 10–15 Minuten sind besser als seltene Marathon-Einheiten.
Warm-up (2–3 Minuten)
1. Fußmassage mit Ball: Barfuß im Stand den Fuß über einen Igel- oder Tennisball rollen (Ballen → Fußgewölbe → Ferse).
30–60 Sekunden pro Fuß, sanfter Druck.
2. Fußkreisen & Sprunggelenk mobilisieren: Je 10–15 Kreise pro Richtung.
Mobilisation & Dehnung (schmerzfrei dosieren)
3. Großzehen-Mobilisation (aktiv-assistiv)
Sitz, Fuß aufs Knie. Mit einer Hand das Mittelfußköpfchen des Großzehs stabilisieren, mit der anderen die Großzehe in kleinen Bögen nach oben/unten bewegen.
2 Sätze × 10–15 ruhige Wiederholungen.
4. Passive Dehnung in die Hochbewegung (Dorsalextension)
Handtuch/Übungsband um die Großzehe legen, Ferse bleibt am Boden. Zehe sanft nach oben führen, Position halten, ohne in Schmerz hineinzugehen.
3 × 15–20 Sekunden halten, 10 Sekunden Pause.
5. Plantarfaszie-/Sohlen-Dehnung
Sitz, Unterschenkel aufs andere Bein. Zehen (inkl. Großzehe) mit der Hand als Paket Richtung Schienbein ziehen, bis die Fußsohle spannt.
3 × 20–30 Sekunden halten.
6. Wadendehnung (Gastrocnemius & Soleus)
Stand, Hände an die Wand.
– Gestrecktes Knie (hinteres Bein): Dehnung oberer Wade.
– Leicht gebeugtes Knie: Dehnung tiefer Wade/Achillessehne.
Je 2 × 30 Sekunden pro Seite.
Warum? Eine elastische Wade erleichtert das Abrollen, ohne das Großzehengelenk zu überlasten.
Kräftigung & Kontrolle der Fußmuskeln
7. „Kurzer Fuß“ (Short-Foot-Exercise)
Stand oder Sitz. Fußgewölbe aktiv anheben, indem du den Vorfuß sanft zur Ferse „ziehst“ – ohne die Zehen zu krallen. Spannung 5 Sekunden halten, lösen.
2–3 Sätze × 8–10 Wiederholungen pro Fuß.
8. Zehenspreizen
Zehen aktiv auseinanderspreizen; die Großzehe bewusst weg von den Kleinzehen führen.
2 Sätze × 10–15 Wiederholungen.
9. Toe-Yoga
– Großzehe anheben, alle anderen Zehen unten lassen.
– Wechsel: Großzehe unten, kleine Zehen heben.
2 Sätze × 8–10 pro Variante.
Tipp: Am Anfang mit der Hand „mithelfen“, dann langsam loslassen.
10. Towel Curls / Murmeln greifen (optional, bei gut tolerierter Belastung)
Handtuch mit den Zehen heranziehen oder Murmeln/Steine aufheben.
1–2 Sätze × 30–45 Sekunden.
Nicht übertreiben, wenn das Großzehengelenk dabei schmerzt – dann lieber „Kurzer Fuß“ & Zehenspreizen priorisieren.
11. Balance-Übung (Einbeinstand)
Barfuß auf stabilen Untergrund stellen, Fußgewölbe aktiv. 20–30 Sekunden halten, Seite wechseln. Steigern durch Augen schließen oder instabile Unterlage.
2–3 Durchgänge pro Seite.
Konservative Therapie des Hallux rigidus
Ziel ist Schmerzlinderung und Entlastung – die Arthrose selbst kann konservativ nicht rückgängig gemacht werden.
- Schuhanpassung (breitere Zehenbox, Abrollhilfe/Rocker-Sohle)
- Orthopädische Einlagen (z. B. versteifte Sohlenanteile zur Druckumverteilung)
- Physio/Manuelle Therapie, Kräftigung der kurzen Fußmuskeln
- Entzündungshemmende Maßnahmen (Medikamente, Kälte, ggf. Injektionen)
- Aktivitätsmodifikation (Stoßbelastungen reduzieren)
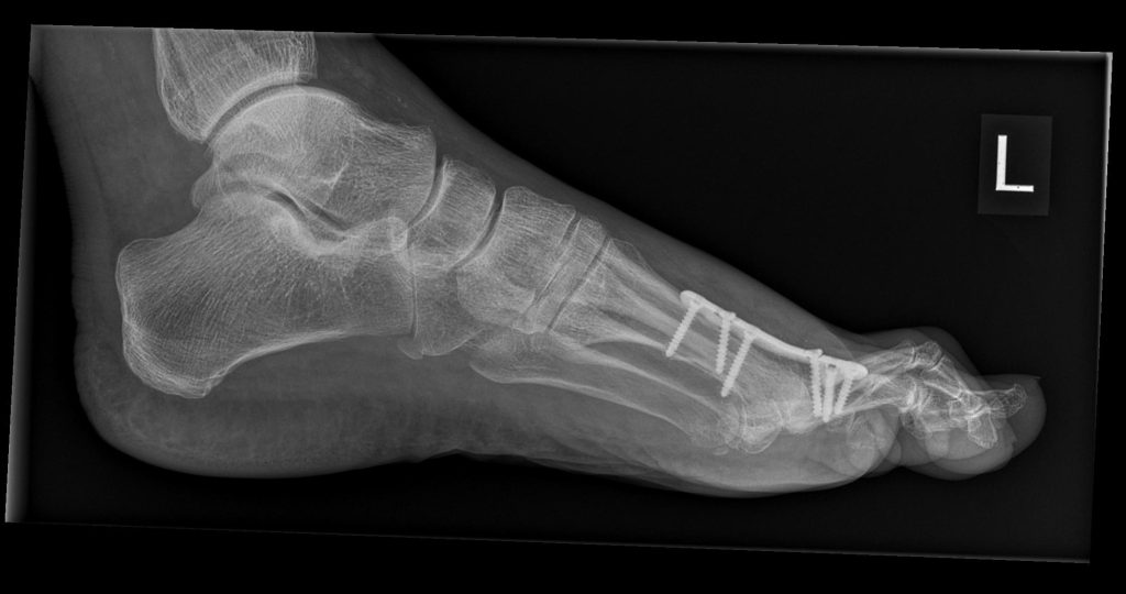
Operative Behandlung (Hallux-rigidus-OP)
Wenn Schmerzen trotz konservativer Maßnahmen anhalten oder die Alltagsbelastbarkeit deutlich eingeschränkt ist, besprechen wir mit Ihnen die OP-Optionen. Die Wahl richtet sich nach Stadium, Aktivität und persönlichen Zielen (z. B. Sport, Beruf, Schuhwerk).
OP-Verfahren im Vergleich
| Verfahren | Ziel | Beweglichkeit erhalten? | Typische Vorteile | Für wen geeignet? | Nachbehandlung (Beispiel) |
|---|---|---|---|---|---|
| Cheilektomie | Osteophyten entfernen, Abrollen erleichtern | Ja (gelenkerhaltend) | oft schnellerer Return to Activity, kleiner Eingriff | frühe–mittlere Stadien mit Restbeweglichkeit | Entlastung/Verbandschuh ca. 1–3 Wo.; Physio; stufenweiser Aufbau |
| Moberg-Osteotomie | Dorsalextension verbessern | Ja (ergänzend) | bessere Abrollbewegung | wenn Beweglichkeit trotz Cheilektomie begrenzt bleibt | wie Cheilektomie, je nach Fixation |
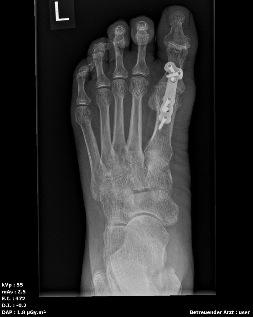
| Operation nach Youngswick | Beweglichkeit erhalten | Ja | Schmerzen reduzieren, Beweglichkeit erhalten, Arthrose stoppen | Arthrose mit noch erhaltenem Gelenkspalt > 50%, langer erster Mittelfußknochen | Für 4 Wo Entlastungsschuh |
| Arthrodese | schmerzfreies, stabiles Abrollen | Beweglichkeit im MTG I: Nein | sehr verlässliche Schmerzausschaltung, hohe Belastbarkeit | fortgeschrittene Arthrose/rigidus | Entlastung einige Wochen; Entlastungsschuh 6–8 Wo.; Sport schrittweise |
| Endoprothese | Beweglichkeit erhalten | Ja | alltagsfreundlich bei passender Indikation | ausgewählte Einzelfälle | abhängig vom Implantat; individuelle Planung |
Ziele (Sport, Beruf, Schuhwerk) bestimmen die Methode – wir beraten transparent.


Cheilektomie (Frühstadium / limitus → frühes rigidus)
Abtragung störender Knochenanbauten, Glättung; Ziel: Schmerzreduktion und bessere Beweglichkeit. Häufig in Kombination mit OP nach Youngswick
Moberg-Osteotomie
Dorsale Keilentnahme am Grundglied zur Verbesserung der Dorsalextension; ergänzend zur Cheilektomie bei eingeschränkter Hochbewegung.
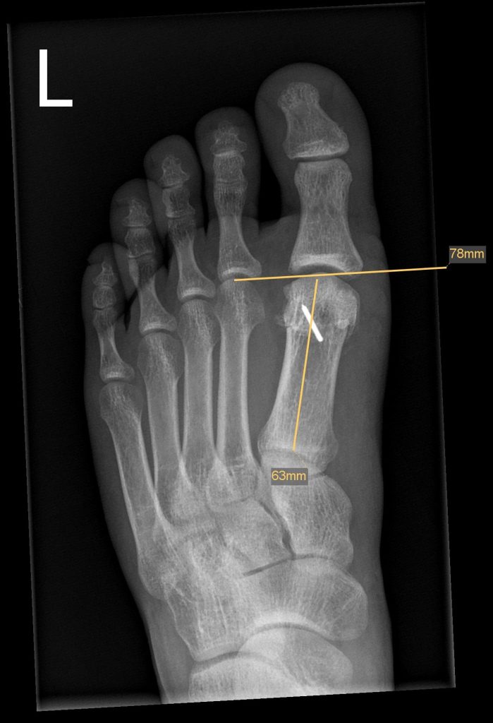
Youngswick Osteotomie
(Arthrose Gelenkspalt mehr als 50%, langer erster Mittelfußknochen)
Ist eine Modifikation der Chevron-Osteotomie ( OP bei Hallux valgus) dabei wird eine V- Förmige gelenknahe Durchtrennung des ersten Mittelfußknochens durchgeführt . ( in Kombination mit einer Cheilotomie) und eine Knochenscheibe entnommen, dadurch kommt es zu einer Verkürzung des ersten Strahls und einer Druckentlastung des Gelenks, was einer Verbesseerung der Beweglichkeit und Reduzierung der Schmerzen führt. Diese Operation führen wir häufig bei noch erhalten Gelenkspalt als Alternative zur Versteifung durch.
Arthrodese (Gelenkversteifung, fortgeschrittene Arthrose)
Versteifung des Großzehengrundgelenks in funktioneller Position. Sehr verlässliche Schmerzausschaltung auf Dauer, stabiles Abrollen, gute Belastbarkeit im Alltag und für viele Sportarten.
Endoprothese (ausgewählte Einzelfälle)
Gelenkersatz zur Beweglichkeitserhaltung – indikationsabhängig; wir entscheiden gemeinsam nach Nutzen-Risiko-Abwägung.
OP-Ablauf & Nachsorge (Orientierung):
Eingriffsdauer je nach Verfahren 30–90 Min.; Vorfußentlastungsschuh in der Frühphase; Physiotherapie zur Gangschulung; Rückkehr in Alltag und Sport stufenweise – Details im Aufklärungsgespräch.
Reha & Verlauf
| Phase | Zeitraum (typisch) | Schuh/Belastung | Physio-Fokus | Alltag/Sport |
|---|---|---|---|---|
| Frühphase | 1–2 Wochen | Verbands-/Entlastungsschuh, Teilbelastung | Schwellungsmanagement, Gangschule | kurze Strecken, Hochlagern |
| Aufbau | 3–6 Wochen | Belastung steigern | Beweglichkeit (bei gelenkerhaltend), Fußmuskulatur | Büro/Alltag meist wieder möglich |
| Rückkehr zu Aktivität | 6–12 Wochen | Normalschuh (nach Freigabe) | Kraft & Koordination | Sportarten je nach Verfahren schrittweise starten |
Disclaimer: Orientierungswerte; genaue Zeiten hängen von Verfahren, Beruf und individuellem Verlauf ab.
Warum Orthopädie Neuhausen (München)?
- Spezialsprechstunde Fußchirurgie: langjährige Erfahrung mit Vorfuß-OPs (Hallux rigidus/valgus, Arthrosen, komplexe Fehlstellungen)
- Dr. med. Ralf Ullmann – Facharzt für Orthopädie, zertifizierter Fußchirurg; operativ tätig in Partnerkliniken in München
- Strukturierter Behandlungsweg: Diagnostik, Aufklärung, OP-Planung, Nachsorge – alles aus einer Hand
- Praxis zentral in 80636 München, Terminvergabe bequem über die Online-Rezeption
Vereinbaren Sie einen Termin bei uns in der Orthopädie Neuhausen.
Sie haben Hallux Valgus und benötigen einen Termin? Wir sind gerne für Sie da – kontaktieren Sie uns!
Häufige Fragen zum Hallux rigidus (FAQ)
Was ist der Unterschied zwischen Hallux rigidus und Hallux limitus?
Beim limitus ist die Beweglichkeit eingeschränkt, aber noch vorhanden. Beim rigidus ist sie stark reduziert bis aufgehoben (Arthrose des Großzehengrundgelenks).
Kann ein Hallux rigidus ohne OP heilen?
Eine Arthrose heilt nicht von selbst. Konservative Maßnahmen lindern Beschwerden und verlangsamen die Progression; bei anhaltenden Schmerzen ist die OP oft die zuverlässigste Lösung.
Welche OP ist für mich die richtige?
Das hängt vom Stadium, Aktivitätsniveau und Ihren Zielen ab. Gelenkerhaltende Verfahren (Cheilektomie ± Op nach Youngswick , Moberg) vs. Arthrodese bei fortgeschrittener Arthrose. Wir besprechen Optionen transparent.
Wie lange dauert die Heilung nach der Hallux-rigidus-OP?
Frühphase einige Wochen mit Entlastungsschuh; Funktionsgewinn häufig über 6–12 Wochen. Sportfähigkeit abhängig vom Verfahren und der Sportart.
Übernimmt die Krankenkasse die Kosten?
In der Regel ja – abhängig von Verfahren und Versicherung. Wir klären das im Termin.
Kann ich nach Arthrodese wieder Sport machen?
Ja, viele Aktivitäten sind möglich (z. B. Wandern, Radfahren, Fitness). Für laufintensive Sportarten beraten wir individuell.
Sie haben Fragen zur Behandlung des Hallux rigidus? Gerne ist unser Arzt Dr. Ralf Ullmann für Sie da und berät Sie zu den konservativen und operativen Therapien. Wir freuen uns auf Ihren Besuch in unserer Praxis!








